吃瓜简评
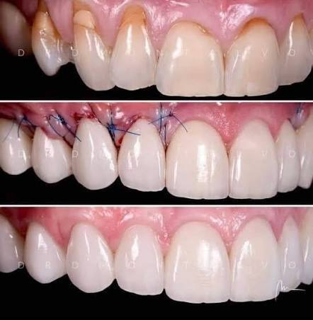
**黄宗泽牙龈萎缩事件:美容冠风波引发的“吃瓜”风暴** ,关于黄宗泽牙龈萎缩的消息如同一场“吃瓜”风暴,席卷了全网,作为早年以“美容冠”闻名的明星,黄宗泽的牙龈萎缩事件不仅引发了粉丝的担忧,更成为了一个引人深思的社会现象,牙龈萎缩、磨小牙齿、套上人工牙齿壳……这些细节仿佛揭开了明星生活的“假牙”之幕,让人忍不住想对这位曾经的“牙齿美人”说一声:“小心为安,别光顾着让牙齿顾及你的美貌!”,### **一、牙龈萎缩:明星的“光环”?**,牙龈萎缩,这个看似简单的口腔问题,却在明星中经常被提及,有人认为,牙龈萎缩可能与长期磨牙有关,而牙齿的磨耗又常常与职业特点有关,毕竟,咬牙吃瓜、表演时的表情管理,这些看似平常的动作,长期下来可能会对牙齿造成不小的伤害。,对于黄宗泽来说,牙龈萎缩似乎成为了她职业生涯的一部分,早年,她凭借美容冠手术成为焦点,而牙龈萎缩则成了她“光环”中的一部分,毕竟,谁能忘记她在镜头前咬牙咬嘴的模样?那些“牙齿闪闪发光”的瞬间,无疑让她在观众心中留下了深刻的印象。,牙龈萎缩的背后是牙齿健康的问题,这一点不能忽视,牙龈萎缩可能会引发牙齿松动、牙痛甚至更严重的口腔疾病,即使黄宗泽选择了隐形牙齿来解决问题,但这并不能改变牙龈萎缩对口腔健康的潜在危害。,### **二、美容冠:明星的“假发”?**,在娱乐圈,美容冠手术早已成为了一种职业必备品,黄宗泽的美容冠手术并非个例,而是许多明星为了在镜头前展现完美笑容而选择的“职业装备”,就像演员会为了角色打造完美的发型一样,明星们为了维持形象,可能会选择修饰自己的牙齿。,但美容冠的流行也带来了新的问题,有人认为,明星为了追求“完美牙齿”而过度修饰,甚至可能对自身牙齿造成伤害,牙龈萎缩的出现,恰恰反映了这种现象的严重性,毕竟,牙齿是人体的一部分,不应该被过度修饰而失去原有的功能和形态。,### **三、黄宗泽的选择:隐形牙齿的“救赎”**,面对牙龈萎缩的问题,黄宗泽选择了隐形牙齿,这无疑是一种“吃瓜”中的“大机智”,隐形牙齿不仅修复了牙齿的外观,还能保持牙齿的功能,避免了传统美容冠的不便,对于一名从事表演工作的明星来说,这种选择无疑更加贴切。,隐形牙齿的选择也引发了新的讨论,隐形牙齿的价格昂贵、使用寿命较短等问题,是否值得普通人追求?对于黄宗泽来说,这种选择或许更像是职业需求的满足,但对于普通人来说,可能需要权衡利弊。,### **四、牙齿健康的“小心为安”**,黄宗泽牙龈萎缩事件的背后,是一个关于牙齿健康的重要提醒,无论是明星还是普通人,牙齿的健康都应放在首位,牙龈萎缩不仅影响美观,还可能带来口腔疾病的风险,无论是选择美容冠、隐形牙齿,还是保持自然牙齿,都需要以牙齿健康为首要考虑。,对于黄宗泽来说,这次风波或许是一次“自我救赎”的机会,她通过这次事件,提醒了更多人关注牙齿健康,同时也展现了明星在面对职业与健康之间的选择,或许,这正是“吃瓜”文化中最有价值的部分——通过轻松的方式传递健康知识,让人们意识到生活中的小细节也同样重要。,黄宗泽牙龈萎缩事件虽然是一场“吃瓜”风波,但它也带来了关于牙齿健康的重要警示,无论是明星还是普通人,都应以牙齿健康为重,毕竟,健康才是最美的笑容。《黄宗泽牙龈萎缩:美容冠的诱因与口腔健康的警示》,黄宗泽的牙龈萎缩事件引发了广泛关注,作为曾经备受瞩目的美容冠明星,黄宗泽的牙齿问题不仅让人侧目,也引发了公众对口腔健康和美容手术风险的深思。,### 一、牙龈萎缩的隐秘伤害,牙龈萎缩并非一天之内的事物,它通常是长期牙磨、牙齿修复不当或牙周病等问题的结果,黄宗泽的牙齿问题显然不仅仅是外观上的变化,牙龈萎缩会导致牙齿松动、牙痛甚至更严重的口腔疾病,据了解,牙龈萎缩可能引起牙齿长缺失、牙周病加重甚至牙齿掉落,这些问题一旦出现,修复难度大,费用高昂。,### 二、美容冠的风险与诱惑,美容冠作为一种修复牙齿的方式,在某些情况下确实可以改善牙齿的外观,美容冠并非万能的神器,对于牙龈健康状况不佳的人来说,频繁更换美容冠可能加重牙龈病变,更令人担心的是,部分医疗机构为了追求利润,可能会对患者的口腔状况进行不充分的检查,导致手术失败和并发症。,美容冠的材料和手术技术也是一个不容忽视的问题,虽然现代材料有所进步,但仍存在脱落、龋齿、感染等问题,这些问题不仅影响患者的口腔健康,还可能造成心理压力和经济负担。,### 三、口腔健康与美的平衡之道,黄宗泽的事件提醒我们,在追求美的同时,不能忽视健康,口腔健康是整体健康的重要组成部分,牙龈萎缩不仅影响美观,还可能带来严重的健康问题,在选择美容手术时,患者需要充分了解手术的风险和后果,选择合适的解决方案。,医疗行业也需要提高服务质量和透明度,建立完善的监管体系,确保患者能够获得安全、有效的医疗服务,医生和患者之间需要建立良好的沟通,制定适合患者的治疗方案。,### 四、公众的唠叨与行业的警示,牙齿美容作为一项医疗技术,需要医生的专业判断和患者的合理选择,公众对于黄宗泽的关注,既是对她个人的支持,也是对医疗行业的一种监督,行业需要通过正规渠道,传递科学的知识,消除大众对美容手术的误解。,对于明星行业而言,健康管理和形象塑造往往需要平衡,明星在追求职业发展的同时,同样需要关注自身的身心健康,避免因过度追求完美而伤害自己。,在这个追求完美的时代,我们更应该学会取舍,既要注重外表的美丽,更要重视内在的健康,黄宗泽的经历不仅是一个个人的警示,更是整个医疗行业需要反思和改进的契机,希望未来的医疗服务能更加人性化,帮助每一个人在追求美的同时,保持健康的笑容。
#黄宗泽 牙龈萎缩#
早年做过美容冠的明星,容易发生牙龈萎缩,就是磨小自己的牙齿,套上一个人工的牙齿壳。



相关文章

